Protez ameliyatı, genellikle yaşlı bireyler ve eklem sorunları yaşayanlar için uygulanır. Fiyatlar, hastane ve cerrahın deneyimine göre değişir. Diz protezi ameliyatı fiyatları, protez türü, hastane konumu ve operasyon karmaşıklığına göre değişir. Sağlık sigortası kapsamı da maliyeti etkileyebilir. Uygulama öncesinde detaylı bir araştırma yaparak doğru fiyat aralığına ulaşmak önemlidir.
Diz Protezi Ameliyatı Nasıl Yapılır?

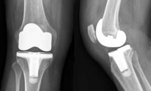
Diz eklemi, vücudun en büyük eklemidir ve zamanla aşındıktan sonra ciddi ağrılara yol açabilir. Bu durumda, eklemi değiştirme işlemi gerekebilir. Ameliyat öncesi, doktor genellikle hastanın sağlık durumunu değerlendirir. X-ray ve MR gibi testler yaparak dizin ne kadar hasar gördüğünü belirler. Bireyin genel sağlık hali de dikkate alınır.
İlk adım, cerrahın dizin etrafındaki dokuları açarak eklem yüzeyine ulaşmasıdır. Genellikle, dizin ön kısmından küçük bir kesi yapılır. Bu kesiden girilerek, zarar görmüş kıkırdak ve kemikler temizlenir. Daha sonra, özel bir metal ve plastik bileşen yerleştirilir. Bu bileşen, eski eklemin yerini alacak şekilde dizin içinde sabitlenir.
Diz protezi ameliyatı sırasında spinal anestezi veya genel anestezi uygulanır. Spinal anestezi, belden aşağısını uyuşturur, böylece hasta uyanık kalır ama ağrı hissetmez. Eğer genel anestezi tercih edilirse, hasta tamamen uyutulur. Doktor, eklemi doğru yerleştirmek için ölçümler yapar ve her şeyin doğru olduğundan emin olduktan sonra kapama işlemini başlatır.
Ameliyat sonrası hastalar genellikle birkaç gün hastanede kalır. İlk günlerde, hastanın dizini dinlendirilir ve şişliği azaltmak için buz tedavisi yapılır. Fiziksel terapiye başlamak, iyileşme sürecinde önemli bir adımdır. Fiziksel terapi, kasları güçlendirmek ve eklem hareketliliğini artırmak için gereklidir.
Diz Protezi Ameliyatı Kimler İçin Uygundur?
Diz eklemindeki hasar, yaşam kalitesini ciddi şekilde etkileyebilir. Bu tür şikayetler genellikle ileri yaşlarda ortaya çıkar. Ancak gençlerde de travmalar veya genetik faktörler nedeniyle dizde aşınma olabilir. Tedavi seçenekleri arasında cerrahi müdahale, ciddi rahatsızlıkları olanlar için uygun bir çözüm olabilir.
Ağrılı ve hareket kısıtlılığı yaşayan hastalar, bu tür bir operasyon için aday olabilir. İlaç, fiziksel terapi ve enjeksiyonlar yeterli olmazsa, cerrahi işlem önerilebilir. Dizdeki ağrı ve sertlik günlük yaşamı zorlaştırıyorsa, cerrahi müdahale bir seçenek haline gelir.
Bununla birlikte, diz protezi ameliyatı her hasta için uygun olmayabilir. Genç ve aktif bireylerde, eklem protezi genellikle tercih edilmez. Çünkü bu protezler zamanla aşınabilir ve ikinci bir operasyon gerekebilir. Bu nedenle, cerrahlar genellikle bu tür bir operasyonu, 60 yaş ve üzeri hastalar için daha uygun görür.
Diğer bir kriter ise hastanın genel sağlık durumudur. Diyabet, kalp hastalıkları veya enfeksiyon riski, iyileşmeyi olumsuz etkileyebilir. Böyle durumlar göz önünde bulundurularak cerrahi işlem planlanır. Aynı zamanda, hastanın kilo durumu da önemlidir. Aşırı kilolu hastalar, eklem protezinin daha hızlı aşınmasına neden olabilir, bu da iyileşme sürecini etkileyebilir.
Diz Protezi Ameliyatı Sonrası İyileşme Süreci

Ameliyat sonrası iyileşme süreci, her hasta için farklı olabilir. Ancak, genellikle ilk günlerde hastalar hastanede kalır. Doktorlar, hastanın ağrı seviyesini kontrol eder ve gerekirse ağrı kesiciler verir. Şişlik ve morluklar da görülebilir, ancak bunlar zamanla azalır. İlk günlerde hastanın bacaklarını yukarıda tutması önerilir.
Diz protezi ameliyatı sonrası hastalar, ikinci günden itibaren dizlerini hareket ettirir. Fiziksel terapi, iyileşme sürecinin önemli bir parçasıdır. Terapistler, dizin hareket açıklığını artırmak ve kasları güçlendirmek için çeşitli egzersizler önerir. Bu egzersizler, hastanın günlük yaşam aktivitelerine dönmesine yardımcı olur.
İlk birkaç hafta boyunca hastaların yürürken baston veya yürüteç kullanması gerekebilir. Bu, dizin üzerine fazla yük binmesini engeller. Fiziksel terapi ve düzenli egzersizlerle, kaslar güçlenir ve eklem hareketliliği artar. Ancak, bu süreçte aşırı yüklenmekten kaçınılmalıdır.
Altı hafta sonra hastalar, daha rahat yürüyüp günlük aktivitelerini yapabilir. Yavaşça daha uzun mesafeler yürümeye başlamak da mümkündür. Fiziksel terapiye devam edilmesi, dizin tam iyileşmesi için gereklidir. Bu aşamada, hastalar dizlerinde eski hareket kabiliyetlerine yakın bir duruma gelirler.
Diz Protezi Ameliyatı Fiyatları Nelerdir?
Diz eklemindeki hasar nedeniyle cerrahi müdahale, faktörlere göre farklı fiyatlarla yapılır. Ameliyatın fiyatı, hastanın bulunduğu ülke, hastane türü ve cerrahın deneyimi gibi etkenlerden etkilenir. Devlet hastaneleri daha ucuz, özel hastaneler ise daha pahalıdır.
Ayrıca, kullanılan protez malzemelerinin kalitesi de fiyat üzerinde etkili bir faktördür. Yüksek kaliteli, dayanıklı ve modern protezler, daha pahalı olabilir. Bunun yanında, protezin marka ve türüne göre de fiyat değişiklikleri görülebilir. Biyomekanik özellikleri yüksek protezler tercih edilirse, maliyet artabilir.
Hastaların hastanede kalış süresi ve iyileşme süreci de fiyatı etkiler. Bazı hastalar kısa süreli bir hastane yatışıyla taburcu olurken, bazıları daha uzun bir süre gözetim altında tutulabilir. Bu durum, ameliyatın genel maliyetini etkileyen önemli bir unsurdur. Ayrıca, fiziksel terapi ve rehabilitasyon süreçleri de ekstra maliyetler doğurabilir.
Sağlık sigortası, bu tür operasyonların maliyetini karşılamada yardımcı olabilir. Sigorta kapsamı, hastaların ödeyeceği miktarı azaltabilir. Ancak, sigorta şirketleri genellikle sadece belirli hastanelerdeki tedavi masraflarını karşılar. Sigorta poliçesinin detayları gözden geçirilmeli ve sigorta şirketi ile iletişime geçilmelidir.
Diz protezi ameliyatı fiyatları geniş bir aralıkta değişir. Hastalar, bütçelerine uygun tedavi ve sigorta seçeneklerini değerlendirmelidir. Ameliyat maliyetlerinin yanı sıra, iyileşme sürecindeki harcamalar da göz önünde bulundurulmalıdır. Fizik tedavi ve ilaç masrafları gibi ek giderler, maliyeti artırabilir. Bu nedenle, diz protezi fiyatları hakkında kapsamlı bir planlama yapmak önemlidir.